Past Issue in 2025

Volume: 15, Issue: 22

left

Dec

20

Dec

5

Nov

20

Nov

5

Oct

20

Oct

5

Sep

20

Sep

5

Aug

20

Aug

5

Jul

20

Jul

5

Jun

20

Jun

5

May

20

May

5

Apr

20

Apr

5

Mar

20

Mar

5

Feb

20

Feb

5

Jan

20

Jan

5

right

Biochemistry

Quantifying Intestinal Glucose Absorption Using Isolated Vascularly Perfused Rat Small Intestine

Quantifying Intestinal Glucose Absorption Using Isolated Vascularly Perfused Rat Small Intestine

CB Cecilie Bæch-Laursen
SB Sabine Bæch-Laursen
JH Jens Juul Holst
1624 Views
Nov 20, 2025
Intestinal glucose absorption has been studied for several decades. However, the different methods available for investigating absorption are often the reason for variability in the results, and it is difficult to measure the relative contribution of paracellular absorption using existing methods. Thus, we have established a new model for measuring glucose absorption. In the isolated in situ vascularly perfused small intestine, the intestinal epithelium is completely preserved, and the entire transport pathway is intact. In the present model, we use radioactive labeled 14C-d-glucose, which allows for sensitive quantification of glucose absorption even with low luminal concentrations. The described method is optimized for intestinal glucose absorption but can be applied to other macro/micronutrients that can be radioactively labeled. The described procedure is a novel approach for measurements of intestinal nutrient absorption and gut permeability in which luminal nutrient concentrations resemble physiological concentrations.

Bioinformatics and Computational Biology

Click-qPCR: A Simple Tool for Interactive qPCR Data Analysis

Click-qPCR: A Simple Tool for Interactive qPCR Data Analysis

AK Azusa Kubota
Atsushi Tajima Atsushi Tajima
2835 Views
Nov 20, 2025
Real-time quantitative PCR (qPCR) is a pivotal technique for analyzing gene expression and DNA copy number variations. However, the limited availability of user-friendly software tools for qPCR data analysis presents a significant challenge for experimental biologists with limited computational skills. To address this issue, we developed Click-qPCR, a user-friendly and web-based Shiny application for qPCR data analysis. Click-qPCR streamlines ΔCq and ΔΔCq calculations using user-uploaded CSV data files. The interactive interface of the application allows users to select genes and experimental groups and perform Welch’s t tests and one-way analysis of variance with Dunnett’s post-hoc test for pairwise and multi-group comparisons, respectively. Results are visualized via interactive bar plots (mean ± standard deviation with individual data points) and can be downloaded as publication-quality images, along with summary statistics. Click-qPCR empowers researchers to efficiently process, interpret, and visualize qPCR data regardless of their programming experience, thereby facilitating routine analysis tasks. Click-qPCR Shiny application is available at https://kubo-azu.shinyapps.io/Click-qPCR/, while its source code and user guide are available at https://github.com/kubo-azu/Click-qPCR.
A Computational Workflow for Membrane Protein–Ligand Interaction Studies: Focus on α5-Containing GABA (A) Receptors

A Computational Workflow for Membrane Protein–Ligand Interaction Studies: Focus on α5-Containing GABA (A) Receptors

SM Syarifah Maisarah Sayed Mohamad
KH Khairul Bariyyah Abd Halim
Azzmer Azzar Abdul Hamid Azzmer Azzar Abdul Hamid
AH Ahmad Tarmizi Che Has
2181 Views
Nov 20, 2025
In neuropharmacology and drug development, in silico methods have become increasingly vital, particularly for studying receptor–ligand interactions at the molecular level. Membrane proteins such as GABA (A) receptors play a central role in neuronal signaling and are key targets for therapeutic intervention. While experimental techniques like electrophysiology and radioligand binding provide valuable functional data, they often fall short in resolving the structural complexity of membrane proteins and can be time-consuming, costly, and inaccessible in many research settings. This study presents a comprehensive computational workflow for investigating membrane protein–ligand interactions, demonstrated using the GABA (A) receptor α5β2γ2 subtype and mitragynine, an alkaloid from Mitragyna speciosa (Kratom), as a case study. The protocol includes homology modeling of the receptor based on a high-resolution template, followed by structure optimization and validation. Ligand docking is then used to predict binding sites and affinities at known modulatory interfaces. Finally, molecular dynamics (MD) simulations assess the stability and conformational dynamics of receptor–ligand complexes over time. Overall, this workflow offers a robust, reproducible approach for structural analysis of membrane protein–ligand interactions, supporting early-stage drug discovery and mechanistic studies across diverse membrane protein targets.
A Step-by-Step Computational Protocol for Functional Annotation and Structural Modelling of Insect Chemosensory Proteins

A Step-by-Step Computational Protocol for Functional Annotation and Structural Modelling of Insect Chemosensory Proteins

RK Rajeswari Kalepu
Azzmer Azzar Abdul Hamid Azzmer Azzar Abdul Hamid
MH Maizom Hassan
NM Norfarhan Mohd-Assaad
NM Nor Azlan Nor Muhammad
1715 Views
Nov 20, 2025
Insects rely on chemosensory proteins, including gustatory receptors, to detect chemical cues that regulate feeding, mating, and oviposition behaviours. Conventional approaches for studying these proteins are limited by the scarcity of experimentally resolved structures, especially in non-model pest species. Here, we present a reproducible computational protocol for the identification, functional annotation, and structural modelling of insect chemosensory proteins, demonstrated using gustatory receptors from the red palm weevil (Rhynchophorus ferrugineus) as an example. The protocol integrates publicly available sequence data with OmicsBox for functional annotation and ColabFold for high-confidence structure prediction, providing a step-by-step framework that can be applied to genome-derived or transcriptomic datasets. The workflow is designed for broad applicability across insect species and generates structurally reliable protein models suitable for downstream applications such as ligand docking or molecular dynamics simulations. By bridging functional annotation with structural characterisation, this protocol enables reproducible studies of chemosensory proteins in agricultural and ecological contexts and supports the development of novel pest management strategies.

Biological Engineering

Spheroid Sheets: A Scalable Platform for Producing Tissue Membrane Constructs

Spheroid Sheets: A Scalable Platform for Producing Tissue Membrane Constructs

QL Quang Bach Le
HE Hariharan Ezhilarasu
WC Weng Wan Chan
DC Deepak Choudhury
1583 Views
Nov 20, 2025
Bottom-up tissue engineering using cell spheroids offers many advantages in recapitulating native cell–cell and cell–matrix interactions. Many tissues, such as cartilage, bone, cardiac muscle, intestine, and neural tissues, have been tissue-engineered using cell spheroids. However, previous methods for spheroid assembling, such as mold casting, hydrogel-based bioprinting, or needle array, either lack control over final tissue geometry or face challenges in scalability and throughput. In this protocol, we describe a robust and scalable tissue engineering method for assembling cell spheroids into a thin, planar spheroid sheet. The spheroids are sandwiched between two flexible meshes held by a frame, facilitating uniform spheroid fusion while ensuring nutrient exchange and ease of handling. We demonstrate this method by producing thin cartilage tissue from human mesenchymal stem cells undergoing chondrogenic differentiation. This approach offers a practical platform for producing thin membrane-like tissue constructs for many research and therapeutic applications.

Cancer Biology

Immunopeptidomics Workflow for Isolation and LC-MS/MS Analysis of MHC Class I-Bound Peptides Under Hypoxic Conditions

Immunopeptidomics Workflow for Isolation and LC-MS/MS Analysis of MHC Class I-Bound Peptides Under Hypoxic Conditions

HE Hala Estephan
EH Ester M. Hammond
EA Eleni Adamopoulou
1963 Views
Nov 20, 2025
Immunopeptidomics enables the identification of peptides presented by major histocompatibility complex (MHC) molecules, offering insights into antigen presentation and immune recognition. Understanding these mechanisms in hypoxic conditions is crucial for deciphering immune responses within the tumor microenvironment. Current immunopeptidomics approaches do not capture hypoxia-induced changes in the repertoire of MHC-presented peptides. This protocol describes the isolation of MHC class I-bound peptides from in vitro hypoxia-treated cells, followed by liquid chromatography-tandem mass spectrometry (LC-MS/MS) analysis. It describes optimized steps for cell lysis, immunoaffinity purification, peptide elution, and MS-compatible preparation under controlled low-oxygen conditions. The method is compatible with various quantitative mass spectrometry approaches and can be adapted to different cell types. This workflow provides a reliable and reproducible approach to studying antigen presentation under hypoxic conditions, thereby enhancing physiological relevance and facilitating deeper immunological insights.
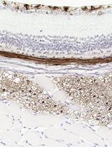
Improved Immunohistochemistry of Mouse Eye Sections Using Davidson's Fixative and Melanin Bleaching

Improved Immunohistochemistry of Mouse Eye Sections Using Davidson's Fixative and Melanin Bleaching

AL Anne Nathalie Longakit
CH Chloe Hess
CZ Christina Zhang
CV Catherine D. Van Raamsdonk
1625 Views
Nov 20, 2025
Immunohistochemistry (IHC) and immunofluorescence (IF) are fundamental molecular biology techniques to assess protein expression. However, the melanin present normally in the eye in the uveal tract (choroid, iris, and ciliary body) and the retinal pigment epithelium (RPE) poses a significant challenge for IHC and IF. This is because melanin interferes with both chromogenic and fluorescent detection methods. Additionally, formalin fixation, which is commonly used for IHC, can result in shrinkage and loss of cellular detail in the eye. This protocol provides an optimized approach using Davidson’s fixative with a hydrogen peroxide bleaching step to eliminate melanin interference in the mouse eye, improving the quality and interpretability of IHC analyses of the uveal tract and RPE. It is particularly useful for the analysis of uveal melanoma.

Cell Biology

Monitoring Endocytosis of Integral Membrane Proteins Using Western Blot-Based Detection of Biotinylated Antibody Uptake

Monitoring Endocytosis of Integral Membrane Proteins Using Western Blot-Based Detection of Biotinylated Antibody Uptake

AG Alexandra Graninger
PS Prasanna Satpute-Krishnan
2276 Views
Nov 20, 2025
The antibody-uptake assay is a commonly used technique to monitor endocytosis of integral membrane proteins including transmembrane and glycosylphosphatidylinositol-anchored proteins (GPI-APs). The antibody-uptake assay typically involves incubating live cells with fluorophore-conjugated antibodies directed against the extracellular domain of the integral membrane protein of interest. Antibody uptake is then detected by flow cytometry or confocal microscopy. However, these detection modalities may be inaccessible to some labs or require extensive training to operate. Thus, we developed an easy and novel sodium dodecyl sulfate-polyacrylamide gel electrophoresis (SDS-PAGE) and western blot-based approach to the antibody-uptake assay that exploits the strong affinity between biotin and streptavidin. Instead of incubating cells with fluorophore-conjugated antibodies to monitor antibody uptake, our assay involves incubating cells with biotinylated antibodies, processing the cell lysates for western blot, and probing the membrane with detectably conjugated streptavidin. From preparation to quantification, this protocol requires less hands-on time than other approaches and is amenable to small-scale drug or siRNA screens. Here, we demonstrate the utility of our approach using the well-characterized misfolded GPI-AP, YFP-tagged C179A mutant of prion protein (YFP-PrP*), as our model substrate. YFP-PrP* constitutively traffics to the plasma membrane (PM), where it binds to anti-GFP antibody, and immediately undergoes endocytosis to lysosomes. To validate our protocol, we present measurements of antibody uptake under conditions known to enhance or inhibit YFP-PrP*’s traffic to the PM. Using this assay, we present new evidence that, under certain conditions, YFP-PrP* is able to undergo degradation via a pathway that does not involve exposure on the cell surface.
Rapid and solvent-free, 2-hydroxyethyl methacrylate (HEMA)-acrylamide (AAm) copolymer-based optical clearing of tissue for fluorescent imaging

Rapid and solvent-free, 2-hydroxyethyl methacrylate (HEMA)-acrylamide (AAm) copolymer-based optical clearing of tissue for fluorescent imaging

YW Yanran Wang
SF Siying Feng
XZ Xiaoqi Zhou
QY Qiufeng Yao
HM Hui Ma
KW Kefeng Wu
1555 Views
Nov 20, 2025
The study of whole organs or tissues and their cellular components and structures has been historically limited by their natural opacity, which is caused by the optical heterogeneity of the tissue components that scatter light as it traverses through the tissue, making 3D tissue imaging highly challenging. In recent years, tissue clearing techniques have received widespread attention and undergone rapid development. We recently demonstrated the synthesis of a 2-hydroxyethyl methacrylate (HEMA)-acrylamide (AAm) copolymer. This was achieved using antipyrine (ATP) and 2,2′-thiodiethanol (TDE) as solvents. The resulting solution rapidly embedded tissue samples with a high degree of transparency and is compatible with multiple fluorescence labeling techniques. The method exhibits significant transparency effects across a range of organs, comprising the heart, liver, spleen, lung, kidney, brain (whole and sectioned), esophagus, and small intestine. It can enable volumetric imaging of tissue up to the scale of mouse organs, decrease the duration of the clearing, and preserve emission from fluorescent proteins and dyes. To facilitate the use of this powerful tool, we have provided here a detailed step-by-step protocol that should allow any laboratory to use tissue transparency technology to achieve transparency of tissues and organs.

Environmental science

A Comparative Protocol for Preserving Deep-Water Marine Invertebrate Tissues: DNA/RNA Shield vs. Liquid Nitrogen for Dual Extraction of High-Quality Nucleic Acids

A Comparative Protocol for Preserving Deep-Water Marine Invertebrate Tissues: DNA/RNA Shield vs. Liquid Nitrogen for Dual Extraction of High-Quality Nucleic Acids

AG Ana S. Gomes
EG Eduarda M. Guerreiro
XP Xavier Pochon
NK Nigel Keeley
OL Olivier Laroche
1389 Views
Nov 20, 2025
Preserving biological samples in the field is essential for ensuring high-quality nucleic acid extraction and reliable downstream molecular analyses. Broadly, two main preservation strategies are available: physical preservation, such as flash freezing in liquid nitrogen, which halts enzymatic activity by rapid cooling, and chemical preservation, using stabilizing reagents that inactivate nucleases and protect nucleic acids even at ambient temperatures. This protocol presents a comparative approach using liquid nitrogen and a commercial stabilizing reagent (DNA/RNA Shield, Zymo Research) to preserve tissue from five marine invertebrate species: two cold-water corals, two sponges, and one bivalve. Samples preserved by each method were processed with the AllPrep DNA/RNA Mini kit (Qiagen) to extract both RNA and DNA. RNA quality was assessed using RNA Integrity Number (RIN) scores. The stabilizing reagent preserved high-quality RNA in sponge and bivalve samples but did not prevent RNA degradation in coral tissues, which showed lower RIN scores compared to those preserved in liquid nitrogen. DNA yields were also consistently lower in tissues preserved with DNA/RNA Shield across all species. These findings suggest that DNA/RNA Shield can be a viable alternative to liquid nitrogen for some marine invertebrates, particularly in field conditions where cryopreservation is impractical. However, for cold-water corals, liquid nitrogen remains essential to ensure RNA integrity for transcriptomic analyses and other sensitive molecular applications (e.g., RT-qPCR).

Immunology

Dual Phospho-CyTOF Workflows for Comparative JAK/STAT Signaling Analysis in Human Cryopreserved PBMCs and Whole Blood

Dual Phospho-CyTOF Workflows for Comparative JAK/STAT Signaling Analysis in Human Cryopreserved PBMCs and Whole Blood

IR Ilyssa E. Ramos
BM Brynja Matthiasardottir
TH Teresa S. Hawley
KH Kyu Lee Han
MT Michal Toborek
ID Iyadh Douagi
GJ Georgette N. Jones
JC James M. Cherry
2414 Views
Nov 20, 2025
Protein phosphorylation is a dynamic post-translational modification that regulates fundamental processes, including signal transduction, cell proliferation, differentiation, and effector function of immune cells. The Janus Kinase/Signal Transducer and Activator of Transcription (JAK/STAT) pathway is a key mediator of cytokine responses, essential for maintaining immune cell homeostasis and determining cell fate across diverse immune subsets. Dysregulation of JAK/STAT signaling has been linked to a broad spectrum of pathologies, including monogenic immune disorders, autoimmunity, and cancer. Platforms facilitating single-cell analysis of protein phosphorylation offer the ability to reveal subtle signaling defects and dissect the pleiotropy in cellular composition and phosphorylation status, providing insights into immune phenotype and function, while identifying potential therapeutic targets. While an application of cytometry-by-time-of-flight, termed phospho-CyTOF, has proven invaluable for studying protein phosphorylation in cryopreserved peripheral blood mononuclear cells (cPBMCs), its application is limited by cell loss and signaling artifacts stemming from isolation and cryopreservation. Conversely, whole blood (WB) approaches, preserving the native immune cell composition and signaling context, offer a more physiological representation but necessitate robust and consistent protocols for broad application. Herein, we present optimized dual phospho-CyTOF workflows tailored for both cPBMCs and whole blood, building upon established protocols for cytokine stimulation of both samples. These workflows facilitate comprehensive, high-dimensional profiling of JAK/STAT signaling in response to pleiotropic cytokines such as Type I interferons (IFN-α), Type II interferons (IFN-γ), and Interleukin-21 (IL-21). By leveraging CyTOF's capacity for high-dimensional profiling using pure heavy metal–labeled antibodies, these protocols aim to identify pathway-specific alterations in STAT phosphorylation across major immune subsets that may be overlooked by traditional flow cytometry. Together, these optimized dual workflows provide scalable, translationally relevant tools for dissecting the subtle and differential JAK/STAT-driven immune responses in both clinical and research settings, while also being compatible with the simultaneous assessment of crosstalk with alternative immune cell signaling pathways.

Medicine

In Vivo Retroviral Transduction of Cardiac Myofibroblasts Using Intramyocardial Injection Immediately Post-myocardial Infarction

In Vivo Retroviral Transduction of Cardiac Myofibroblasts Using Intramyocardial Injection Immediately Post-myocardial Infarction

SO Satsuki Ono
HW Hayato Watanabe
YH Yuma Horii
MN Michio Nakaya
1590 Views
Nov 20, 2025
Following myocardial infarction (MI), myocardial cells undergo cell death, and the necrotic region is replaced by extracellular matrix (ECM) proteins such as collagens. Myofibroblasts are responsible for producing these ECM proteins. Cardiac myofibroblasts are differentiated from resident fibroblasts in response to inflammation. To date, genetically modified mice driven by the Periostin promoter and adeno-associated virus 9 (AAV9) carrying the Periostin promoter have been used for gene transfer into cardiac myofibroblasts. However, these methods require multiple steps and are time-consuming and expensive. Therefore, we developed a method for delivering genes into cardiac myofibroblasts using retroviruses. Specifically, the DNA of the target gene was transfected into Plat-E cells, which are packaging cells, to generate retroviruses. The virus-containing supernatant was then harvested, and the viruses were pelleted by centrifugation and suspended in PBS-containing polybrene. Subsequently, permanent occlusion of the left coronary artery was performed, and 20 μL of viral solution was immediately administered using a 29G needle at a position 1–2 mm below the ligation site in the heart of mice maintained in an open chest state. Using this method, we were able to introduce genes into the myofibroblasts of interest surrounding the MI site.

Neuroscience

Characterizing Tissue Oxygen Tension During Neurogenesis in Human Cerebral Organoids

Characterizing Tissue Oxygen Tension During Neurogenesis in Human Cerebral Organoids

YL Yuan-Hsuan Liu
HW Hsiao-Mei Wu
1766 Views
Nov 20, 2025
Oxygen tension is a key regulator of early human neurogenesis; however, quantifying intra-tissue O2 in 3D models for an extended period remains difficult. Existing approaches, such as needle-type fiber microsensors and intensity-based oxygen probes or time-domain lifetime imaging, either perturb the organoids or require high excitation doses that limit the measurement period. Here, we present a step-by-step protocol to measure intra-organoid oxygen in human cerebral organoids (hCOs) using embedded ruthenium-based CPOx microbeads and widefield frequency-domain fluorescence lifetime imaging microscopy (FD-FLIM). The workflow covers dorsal/ventral cerebral organoid patterning, organoid fusion at day 12 with co-embedded CPOx beads, standardized FD-FLIM acquisition (470-nm external modulation, 16 phases at 50 kHz, dual-tap camera), automated bead detection and lifetime extraction in MATLAB, and session-matched Stern–Volmer calibration with Ru(dpp)3(ClO4)2 to convert lifetimes to oxygen concentration. The protocol outputs per-bead oxygen maps and longitudinal patterns stratified by bead location (intra-organoid vs. gel) and sample state (healthy vs. abnormal), enabling direct linkage between developmental growth and oxygen dynamics.
Intracerebral Cannula Implantation in Mouse: A Proposed Method to Assess Glioblastoma Invasiveness and Serial Locoregional Treatment

Intracerebral Cannula Implantation in Mouse: A Proposed Method to Assess Glioblastoma Invasiveness and Serial Locoregional Treatment

AH Aurélie Henry
PS Philippe Stordeur
AL Andrée Lapierre
CB Chloé Buttenaers
ML Marc Lefevre
MN Maëlle Noelanders
CM Cathy Mottart
LD Lucie Delincé
SD Simon Destiné
QE Quentin Etienne
CN Caroline Nijskens
PF Patrice Filee
GT Gaëtan Thirion
1520 Views
Nov 20, 2025
Research on brain disorders, particularly in the field of oncology, requires in vivo models to evaluate various therapeutic approaches, including intracerebral drug delivery. To meet this requirement, the implantation of intracerebral cannulas offers a reliable method for administering candidate therapeutics directly into the brain. This protocol describes a surgical technique for cannula implantation in mice, enabling repeated administration of therapeutic compounds in the context of glioblastoma treatment. The method was designed with an emphasis on using accessible, easy-to-handle, and sterilized tools to optimize surgical outcomes. Particular attention was also given to animal welfare, notably through refined procedures for asepsis, anesthesia, and postoperative care.
Selective Enrichment and Identification of Cerebrospinal Fluid-Contacting Neurons In Vitro via PKD2L1 Promoter-Driven Lentiviral System

Selective Enrichment and Identification of Cerebrospinal Fluid-Contacting Neurons In Vitro via PKD2L1 Promoter-Driven Lentiviral System

WT Wei Tan
ZS Zeyu Shangguan
SJ Shuwen Jing
XS Xuexing Shi
QL Qizhe Li
HL Hao Li
HZ Haodong Zhang
ZL Zhangrong Luo
CW Chunqing Wang
XD Xiaowei Dou
QL Qing Li
1382 Views
Nov 20, 2025
Cerebrospinal fluid-contacting neurons (CSF-cNs) are a specialized group of multifunctional neurons located around the central canal of the spinal cord. They play critical roles in motor regulation, postural maintenance, and spinal cord injury repair. However, the molecular mechanisms underlying the multifunctionality of CSF-cNs remain poorly understood, partly due to the lack of established in vitro methods for their efficient selection and purification, which significantly hinders mechanistic investigations. In this study, we describe a standardized method using a PKD2L1 promoter-driven lentiviral system, which enables effective enrichment and identification of CSF-cNs in vitro through GFP labeling and puromycin selection. This protocol includes key steps such as construction of the PKD2L1 promoter-driven lentiviral vector, spinal cord tissue collection and digestion from neonatal mice, lentiviral infection, antibiotic selection, and immunofluorescence-based identification of CSF-cNs. Our method provides a reliable platform for obtaining high-purity CSF-cNs (>99%), which facilitates their functional and mechanistic studies for regenerative approaches in vitro.
Mouse Vestibulo-Ocular Reflex Testing for Otolith Organs and Horizontal Semicircular Canal

Mouse Vestibulo-Ocular Reflex Testing for Otolith Organs and Horizontal Semicircular Canal

TZ Tong Zhao
SX Shijie Xiao
QL Qingsong Liu
JL Jinxuan Liu
FC Fangyi Chen
1252 Views
Nov 20, 2025
Vestibulo-ocular reflexes (VORs) are compensatory ocular reflexes that maintain stable vision during head movements. In research, VORs encompass angular VOR (aVOR) and off-vertical axis rotation (OVAR) tests, which various groups have employed to assess vestibular function in mice. This protocol outlines the process for measuring VORs in mice, including eye rotation calibration, immobilizing the mouse with a noninvasive setup, configuring the aVOR and OVAR stimulus modes, and interpreting the obtained waveforms to derive VOR values. As technology advances, VORs are expected to yield more qualitative and quantitative insights into the function of the horizontal semicircular canal cristae (HSCC) and the otolith organs. This methodology can serve as a standard for evaluating common vestibular deficits in mice.

Plant Science

Quantitative Analysis of the Arabidopsis Leaf Secretory Proteome via TMT-Based Mass Spectrometry

Quantitative Analysis of the Arabidopsis Leaf Secretory Proteome via TMT-Based Mass Spectrometry

SW Sakharam Waghmare
LX Lingfeng Xia
SM Suzanne McGill
RB Richard Burchmore
RK Rucha Karnik
2066 Views
Nov 20, 2025
In plants, the apoplast contains a diverse set of proteins that underpin mechanisms for maintaining cell homeostasis, cell wall remodeling, cell signaling, and pathogen defense. Apoplast protein composition is highly regulated, primarily through the control of secretory traffic in response to endogenous and environmental factors. Dynamic changes in apoplast proteome facilitate plant survival in a changing climate. Even so, the apoplast proteome profiles in plants remain poorly characterized due to technological limitations. Recent progress in quantitative proteomics has significantly advanced the resolution of proteomic profiling in mammalian systems and has the potential for application in plant systems. In this protocol, we provide a detailed and efficient protocol for tandem mass tag (TMT)-based quantitative analysis of Arabidopsis thaliana secretory proteome to resolve dynamic changes in leaf apoplast proteome profiles. The protocol employs apoplast flush collection followed by protein cleaning using filter-aided sample preparation (FASP), protein digestion, TMT-labeling of peptides, and mass spectrometry (MS) analysis. Subsequent data analysis for peptide detection and quantification uses Proteome Discoverer software (PD) 3.0. Additionally, we have incorporated in silico–generated spectral libraries using PD 3.0, which enables rapid and efficient analysis of proteomic data. Our optimized protocol offers a robust framework for quantitative secretory proteomic analysis in plants, with potential applications in functional proteomics and the study of trafficking systems that impact plant growth, survival, and health.